يعد سرطان العظام الأولي والذي ينشأ منذ البداية في العظام، من أنواع السرطانات النادرة التي تصيب عظام الجمجمة وهو ورم عظم الجمجمة. في هذا المقال سنتحدث حول الورم في عظم الجمجمة وأعراضه وطرق علاجه من خلال موقع دكتور احمد الغيطي.
ما المقصود بورم عظام الجمجمة؟
ورم عظام الجمجمة عبارة عن سرطان العظام الذي يصيب عظام الجمجمة أو العظام حول الجمجمة أو غضاريف الجمجمة.
أنواع ورم عظم الجمجمة

تُعد أورام عظم الجمجمة من الحالات النادرة، وتنقسم إلى أنواع مختلفة حسب طبيعة الورم (حميد أو خبيث)، ومكانه، وسلوكه الخلوي. فهم أنواع ورم عظم الجمجمة يساعد الأطباء في تحديد أفضل سبل التشخيص والعلاج. وتختلف الأعراض والمضاعفات باختلاف نوع الورم، ما يجعل التشخيص المبكر بالغ الأهمية.
توجد أنواع كثيرة لأورام عظام الجمجمة نذكر منها ما يلي.
1- الورم الحبلي (Chordoma)
- يعد الورم الحبلي ورم عظم الجمجمة من النوع النادر ومع ذلك يكون أكثر أنواع الأورام التي تصيب عظام الجمجمة بنسبة تصل إلى 35% في منطقة قاع الجمجمة على وجه الخصوص.
- إذا كان الورم الحبلي صغير الحجم فإنه لا يسبب أي أعراض ملحوظة.
- يتميز الورم الحبلي بأنه يكون بطيء النمو يظل محصورًا في منطقة قاع الجمجمة ولا ينتشر إلى مناطق أخرى محيطة في معظم الأحيان.
- الورم الحبلي يكون أكثر شيوعاً لدى الأشخاص في الفترة العمرية ما بين 40 إلى 60 عاماً، وقد يظهر أيضاً لدى الأطفال وكبار السن.
أنواع الأورام الحبلية التي تصيب قاعدة الجمجمة
- الورم الحبلي الكلاسيكي.
- الورم الحبلي شوندرويد.
- الورم الحبلي الغير متمايز.
2- الساركوما ورم عظم الجمجمة
هناك نوعان من الساركوما التي تصيب عظم الجمجمة وهما ساركوما غضروفية و ساركوما عَظمية.
الساركوما الغضروفية (Chondrosarcoma)
تنشأ الساركوما الغضروفية في الخلايا المسؤولة عن تكوين الغضاريف تتميز الساركوما الغضروفية بالنمو البطيء، وعادةً ما تظهر في عظام قاع الجمجمة.
الساركوما العظمية (Osteosarcoma)
- النوع الأكثر شيوعاً من أنواع سرطان العظام الأولي، ومع ذلك لا يصيب عظام الجمجمة إلا نادراً.
- تعد الساركوما العظمية من الأنواع الشرسة والعدوانية حيث تنتشر بشكل سريع إلى الأنسجة المحيطة.
- قاع الجمجمة هو المكان الأكثر شيوعاً لظهور الساركوما العظمية.
اقرأ أيضًا: غلق تمدد شرياني نازف بالمخ
ساركوما إيوينج (Ewing sarcoma)
- تظهر ساركوما إيوينج ورم عظم الجمجمة بشكل شائع لدى الأطفال والمراهقين.
- تنشأ في العديد من المناطق بالجمجمة سواء العظام الأمامية أو الصدغية أو الجدارية أو قلع الجمجمة.
3- سرطان عظام الجمجمة الثانوي (السرطان النقيلي)
ينشأ بسبب انتقال الخلايا السرطانية إلى عظام الجمجمة حيث تنتشر الخلايا السرطانية في أنسجة عظام الجمجمة من مناطق أخرى مصابة بالسرطان في الجسم مثل سرطان الكلى أو سرطان البروستاتا أو الورم النقوي المتعدد.
أسباب ورم عظم الجمجمة
تُعد أسباب الورم في عظم الجمجمة متعددة ومعقدة، وغالبًا ما تختلف حسب نوع الورم سواء كان حميدًا أو خبيثًا. وعلى الرغم من أن معظم أورام عظام الجمجمة نادرة، فإن الفهم الدقيق للعوامل المؤثرة في نشأتها يساعد في التشخيص المبكر ووضع خطة علاج مناسبة.
العوامل المحتملة التي قد تؤدي إلى ورم عظم الجمجمة:
- التحورات الجينية
- تلعب الطفرات الوراثية دورًا أساسيًا في تكوّن بعض أورام العظام.
- قد تكون هذه التحورات موروثة أو مكتسبة مع مرور الوقت.
- بعض المتلازمات الوراثية مثل متلازمة غاردنر ترتبط بظهور أورام عظمية.
- التعرض للإشعاع
- الأشخاص الذين خضعوا للعلاج الإشعاعي سابقًا، خاصة في منطقة الرأس، يكونون أكثر عرضة للإصابة بورم عظم الجمجمة.
- الأشعة العالية يمكن أن تؤثر على بنية العظم وتؤدي إلى نمو غير طبيعي للخلايا.
- التهابات مزمنة في العظام
- بعض أنواع الالتهاب المزمن في العظام (مثل التهاب العظم والنقي) قد تؤدي في حالات نادرة إلى تحفيز نمو ورمي.
- هذا السبب أقل شيوعًا لكنه مسجّل طبيًا.
- الصدمات المتكررة في الجمجمة
- رغم أن هذا العامل لا يُعد من الأسباب المباشرة، إلا أن هناك حالات رُصد فيها تطور أورام حميدة في مناطق تعرضت لصدمات أو جروح متكررة.
- الاختلالات الهرمونية أو الخلوية
- قد تلعب بعض الاضطرابات في النمو الخلوي أو الهرموني دورًا في تحفيز الورم، خاصة في المراحل العمرية الحرجة مثل الطفولة أو المراهقة.
اقرأ أيضاً: أفضل دكتور مخ واعصاب
أعراض الورم العظمي بالجمجمة

تختلف أعراض ورم عظم الجمجمة بحسب مكان الورم وحجمه ومدى تأثيره على الأنسجة المحيطة. في بعض الحالات، قد يكون الورم صامتًا ولا يُكتشف إلا بالصدفة من خلال تصوير إشعاعي، وفي حالات أخرى يظهر بمجموعة من الأعراض المزعجة التي تتطلب تدخلًا طبيًا عاجلًا. من المهم الانتباه لأي تغيرات في وظائف الأعصاب أو حواس الرأس والعنق، لأنها قد تشير إلى تطور الورم في مراحله الأولى.
أبرز أعراض الورم العظمي بالجمجمة تشمل:
- الإحساس بوجود كتلة في الرأس قد يصاحبها الشعور بالألم أو لا، ويزداد حجم الكتلة بمرور الوقت.
- الصداع المتكرر.
- اضطرابات الرؤية مثل ازدواج الرؤية أو تشوش الرؤية.
- احتقان الأنف.
- ضعف البصر.
- ضعف أو فقدان السمع.
- آلام في عظام الوجه والرقبة.
- الدوخة.
- الارتباك.
- اضطرابات في المشي.
- مشاكل في توازن الجسم.
- خدر في الوجه.
- صعوبة البلع.
- خلل في الغدة النخامية.
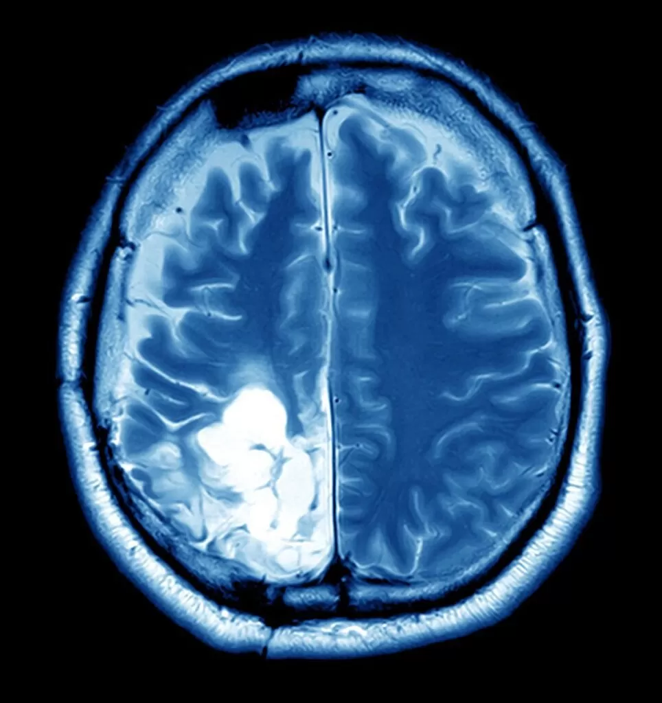
طرق تشخيص ورم عظم الجمجمة
تشخيص ورم عظم الجمجمة يتطلب دقة شديدة ومجموعة من الفحوصات المتكاملة، نظرًا لأن الورم قد يتشابه في أعراضه مع أمراض عصبية أو عظمية أخرى. يبدأ الطبيب عادةً بالتقييم السريري بناءً على شكوى المريض، ثم يطلب الفحوصات التصويرية لتحديد مكان الورم بدقة ونوعه ومدى تأثيره على الأنسجة المحيطة. ويعتبر التشخيص المبكر هو الخطوة الأهم في خطة العلاج الناجح والتقليل من المضاعفات المحتملة.
تشمل أهم وسائل تشخيص ورم عظم الجمجمة ما يلي:
- الأشعة السينية (X-ray): لتحديد وجود أي تآكل أو نمو غير طبيعي في عظام الجمجمة.
- الأشعة المقطعية (CT Scan): تعطي صورًا مقطعية دقيقة توضح حجم الورم وموقعه بدقة.
- الرنين المغناطيسي (MRI): لتحديد تأثير الورم على الدماغ أو الأعصاب القريبة منه.
- الخزعة الجراحية: تؤخذ عينة من الورم لفحصها معمليًا والتأكد من طبيعتها (حميدة أو خبيثة).
- اختبارات الدم: لاكتشاف أي مؤشرات على وجود التهابات أو اضطرابات في وظائف الجسم.
يتم إجراء هذه الفحوصات تحت إشراف طبيب متخصص في الأعصاب أو جراحة المخ والعمود الفقري مثل الدكتور أحمد الغيطي، الذي يضع خطة التشخيص وفقًا لحالة كل مريض بدقة واحترافية.
علاج ورم عظم الجمجمة
يحدد دكتور أحمد الغيطي استشاري جراحة المخ والأعصاب والعمود الفقري الخطة العلاجية الملائمة لورم عظام الجمجمة بناءً على مجموعة عوامل كما يلي:
- نوع الورم.
- حجم الورم.
- موقع الورم.
- مرحلة الورم.
- سرعة نمو الورم.
- عُمر المريض.
- الحالة الصحية العامة للمريض.
طرق علاج ورم عظام الجمجمة
العلاج الأمثل لورم عظام الجمجمة هو التدخل الجراحي.
1- جراحة استئصال ورم عظم الجمجمة
تهدف جراحة استئصال ورم عظام الجمجمة إلى إزالة أكبر قدر ممكن من الورم، وقد أظهرت الدراسات أن الاستئصال الكامل لورم عظام الجمجمة يساهم في تقليل معدل تكرار الورم.
يكون من الصعب اللجوء إلى الاستئصال الجراحي للورم في بعض الحالات نظراً للموقع الحساس للورم.
يحدد دكتور أحمد الغيطي استشاري جراحة المخ والأعصاب والعمود الفقري الأسلوب الجراحي الأمثل لكل مريض بناءً على نوع الورم وموقعه للحصول على أفضل النتائج بعد الجراحة وتعزيز سرعة التعافي أيضاً.
اقرأ أيضًا: استسقاء المخ
2- استئصال ورم عظام قاعدة الجمجمة باستخدام المنظار
في السنوات الأخيرة حدثت طفرة هائلة في مجال جراحات استئصال أورام المخ و ورم عظم الجمجمة عبر التنظير الداخلي للأنف (EEA)
ويشمل استئصال ورم عظام الجمجمة باستخدام المنظار عدة مميزات وهي:
- إجراء شقوق صغيرة بدلاً من الفتح الجراحي الكبير.
- سرعة التعافي.
- ألم أقل.
- حماية أنسجة المخ.
- إمكانية الخروج من المستشفى خلال يومين بعد الجراحة.
من الجدير بالذكر أن جراحات التنظير الأنفي لا تلائم جميع أنواع ورم عظم الجمجمة خاصة الأورام كبيرة الحجم أو القريبة من الهياكل الحساسة بالمخ.
يتمتع دكتور أحمد الغيطي استشاري جراحة المخ والأعصاب والعمود الفقري وفريقه المعاون بخبرات كبيرة في مجال جراحات أورام عظام الجمجمة عن طريق استخدام أحدث التقنيات الجراحية والتي من أهمها المنظار الجراحي.
يتمكن دكتور أحمد الغيطي استشاري جراحة المخ والأعصاب والعمود الفقري من الوصول إلى الورم عبر التجويف الأنفي باستخدام المنظار الذي يتكون من أنبوب طويل ومرن متصل بطرفه كاميرا صغيرة توفر صوراً واضحة لحواف الورم والأجزاء الحساسة للمخ.
يستعين دكتور أحمد الغيطي استشاري جراحة المخ والأعصاب والعمود الفقري ببرنامج المراقبة العصبية الكهربية والملاحة العصبية أثناء إجراء العملية من أجل حماية أنسجة المخ المحيطة بالورم لتوفير أقصى درجات الأمان والدقة العالية أثناء العملية.
أهمية المراقبة العصبية الكهربية أثناء الجراحة
من طرق تجنب مخاطر جراحات استئصال ورم عظم الجمجمة والتي من ضمنها حدوث تلف في جذع المخ والأعصاب القحفية المسؤولة عن التحكم في الوظائف الهامة للمخ مثل الكلام أو البلع.
الاستخدامات الأخرى لجراحات المنظار عبر الأنف
لا يقتصر استخدام المنظار عبر التجويف الأنفي على أورام عظام الجمجمة بل هناك استخدامات علاجية أخرى كما يلي:
- أورام الغدة النخامية.
- الورم القحفي البلعومي.
- سرطان الجيوب الأنفية.
- الأورام السحائية.
العلاج الإشعاعي عقب جراحة ورم عظم الجمجمة
عندما لا تكون هناك إمكانية للتدخل الجراحي يمكن اللجوء إلى العلاج الإشعاعي.
يُنصح بالعلاج الإشعاعي عادةً عقب الجراحة بهدف قتل وتدمير أي خلايا سرطانية متبقية بعد التدخل الجراحي.
أهمية العلاج الإشعاعي بعد استئصال الورم
نظرًا لأن الورم الحبلي في قاعدة الجمجمة غالبًا ما يكون قريباً من بعض الأعصاب والأوعية الدموية الهامة لذلك لا يكون من الممكن دائمًا استئصال الورم كقطعة واحدة ولكن يلجأ جراح الأعصاب إلى استئصال الورم الحبلي في شكل قطع صغيرة إزالة الورم المرئي بالكامل، ويكون من المرجح أن تبقى خلايا الورم الحبلي بعد الجراحة لذلك، يُنصح بالعلاج الإشعاعي عادةً بعد ورم عظم الجمجمة لمنع الخلايا المتبقية من النمو مرة أخرى.
العلاج الكيماوي
يتم تطبيقه قبل جراحة استئصال الورم لكي يقلل العلاج الكيماوي من حجم الورم أو تطبيقه بعد الجراحة لتفادي خطر عودة الورم مرة أخرى.
يفضل الخضوع للعلاج الكيماوي قبل عملية استئصال الورم في حالة الساركوما العظمية على وجه الخصوص.
الأسئلة الشائعة حول ورم عظم الجمجمة
هل ورم الجمجمة خطير؟
يعتمد مدى خطورة ورم الجمجمة على نوعه ومكانه وحجمه، فبعض الأورام قد تكون حميدة ولا تشكّل خطرًا، بينما البعض الآخر قد يضغط على الدماغ أو الأعصاب. التقييم المبكر يساعد على تحديد الخطة العلاجية المناسبة وتقليل المضاعفات.
ما هو الورم العظمي في الرأس؟
ورم عظم الجمجمة هو نمو غير طبيعي في عظام الجمجمة، وقد يكون حميدًا مثل الأورام العظمية أو خبيثًا مثل الساركوما. يحتاج الورم إلى تقييم بالأشعة والتحاليل، ويقدم الدكتور أحمد الغيطي رعاية دقيقة لتشخيص هذه الحالات ووضع خطة علاج فعّالة.
هل ورم الجمجمة قابل للشفاء؟
نعم، كثير من أورام الجمجمة خاصة الحميدة يمكن علاجها جراحيًا أو بالمراقبة المستمرة، وتكون فرص الشفاء جيدة. يختلف الأمر حسب نوع الورم ومرحلته ومدى تأثيره على الأنسجة المحيطة.
هل الورم العظمي خطير؟
قد يكون ورم عظم الجمجمة خطيرًا إذا كان خبيثًا أو في منطقة حساسة قريبة من الدماغ أو الأعصاب. لذلك من الضروري التشخيص المبكر والمتابعة مع طبيبة خبيرة مثل الدكتور أحمد الغيطي لتحديد العلاج المناسب وتقليل المخاطر المحتملة.
مراجع داخلية:

دكتور أحمد الغيطي
استشاري جراحة المخ والأعصاب والعمود الفقري والقسطرة المخية التداخلية.
استشاري جراحة المخ والأعصاب الوظيفية وجراحة الصرع وجراحة الشلل الرعاش بالاستيريوتاكسي.
دكتوراة جراحة المخ والأعصاب – كلية طب القصر العيني – جامعة القاهرة (MD)
زميل البورد الأوروبي للجراحات العصبية (FEBNS)
الزمالة المصرية لجراحة المخ والأعصاب (FEgBNS)
تابعونا على صفحة الفيسبوك من هنا
للاستفسارات والحجز
عيادة المعادي: 26 شارع النصر أعلى فودافون ت/ 01021324575
وعيادة حلوان: 44 شارع المراغي بجوار محطة مترو حلوان ت: 01101001844
عيادة المعصرة: ش ترعة الخشاب فوق كافيتيريا اللؤلؤة ت/ 01015552707



