يظهر شكل جلطة المخ في كل حالة بأعراض مختلفة عن غيرها من الحالات. ولكن يجب الانتباه إلى أعراض كل حالة بجدية شديدة نظرًا لكونها واحدة من المشكلات التي تهدد حياة المريض الذي يعاني منها. وهذا ما سنناقشه في هذا المقال من خلال موقع دكتور أحمد الغيطي.
جلطة المخ (السكتة الدماغية)
كما ذكرنا بالأعلى يختلف شكل جلطة المخ بين حالة وأخرى فليس من الضروري أن يتشابه كل المرضى في أعراض الجلطة
جلطة المخ (السكتة الدماغية) هي حدث طبي يحدث عندما يتوقف تدفق الدم إلى جزء من المخ، سواء بسبب انسداد في الأوعية الدموية المؤدية إلى المخ أو بسبب نزف داخل المخ. هناك نوعان رئيسيان من جلطة المخ: جلطة المخ الإفقارية (Ischemic Stroke) وجلطة المخ النزفية (Hemorrhagic Stroke).
1. جلطة المخ الإفقارية (Ischemic Stroke):
في هذا النوع من الجلطة، يحدث انسداد في وريد دموي داخل المخ بسبب جلطة (تجلط دمي) أو تراكم للشحوم والتصاق للرواسب على جدران الشرايين (تصلب الشرايين). هذا يتسبب في انخفاض تدفق الدم إلى جزء من المخ، مما يؤدي إلى نقص في التروية الدموية ونقص في الأوكسجين والمواد الغذائية للخلايا المخية، مما يسبب ضررًا في الأنسجة المخية.
2. جلطة المخ النزفية (Hemorrhagic Stroke):
في هذا النوع، يحدث نزف داخل المخ نتيجة لانفجار وتمزق لوعاء دموي. هذا النوع من الجلطة يمكن أن يكون نتيجة ارتفاع ضغط الدم الشديد، أو تمزق وريد دموي، أو ورم دماغي يتسبب في تلف الأوعية الدموية.
شكل جلطة المخ وأعراضه يمكن أن تتفاوت بشكل كبير حسب منطقة المخ المتأثرة ونوع الجلطة. بعض الأعراض الشائعة لجلطة المخ تشمل فقدان الإحساس أو الحركة في جزء من الجسم (خدر أو شلل)، صعوبة في التحدث أو فهم الكلام، صداع حاد، دوار، فقدان البصر في أحد العينين، وصعوبة في المشي والتنقل.
اقرأ أيضاً: أفضل دكتور لعلاج الجلطة الدماغية
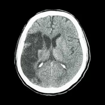
شكل جلطة المخ في الأشعة المقطعية
هناك شكل لجلطة المخ سواء للجلطة الإقفارية أو النزفية وهما كالآتي:
1. الجلطة الإفقارية(Ischemic Stroke) في الأشعة المقطعية
في الأشعة المقطعية، قد يكون من الصعب رؤية شكل جلطة المخ المباشرة، خصوصًا في المراحل الأولى. ومع ذلك، يمكن أن تظهر بعض التغييرات في مناطق المخ المتأثرة بشكل عام، مثل انخفاض في الكثافة الضوئية لهذه المناطق. قد تظهر مناطق معتمة أو غير طبيعية في الصورة، وهذا يشير إلى نقص تروية الدم وضرر في الأنسجة المخية.

2. الجلطة النزفية (Hemorrhagic Stroke) في الأشعة المقطعية:
في حالة جلطة المخ النزفية، يمكن أن يكون من السهل تحديد النزيف أو شكل جلطة المخ في الأشعة المقطعية.
ستظهر منطقة من النسيج المخي بلون أبيض أو فاتح، وهذا يشير إلى وجود الدم. قد يتسبب النزيف في زيادة الضغط داخل الجمجمة مما يؤدي إلى انتفاخ الأنسجة المحيطة، وقد يكون ذلك واضحًا أيضًا في الصورة.
يرجى ملاحظة أن الأشعة المقطعية قد تختلف في قدرتها على رؤية تفاصيل معينة وفقًا للأجهزة والتقنيات المستخدمة، وبالتالي، فإن تقديم تشخيص دقيق يتطلب تقييمًا معمقًا من قبل الأطباء المختصين.

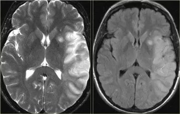
شكل جلطة المخ في الرنين المغناطيسي
جلطة المخ قد تظهر بأشكال مختلفة على الرنين المغناطيسي (MRI) وذلك بحسب نوع الجلطة وتأثيرها على الأنسجة المخية. يمكن أن تظهر بصور مختلفة باعتماد على الزمن والمكان والتغييرات في الأنسجة المخية المحيطة. إليك وصفًا عامًا لأشكال ممكنة لجلطة المخ في الرنين المغناطيسي:
1. الجلطة الإفقارية (Ischemic Stroke) في الرنين المغناطيسي:
في الرنين المغناطيسي، شكل جلطة المخ الإفقارية قد تظهر عادة على الصور بشكل منطقة مظلمة في تصوير T1-weighted ومظهر أكثر سطوعًا في تصوير T2-weighted. قد تظهر أيضًا تعزيزات (توهجات) بيضاء في صور ما بعد الحقن بمادة الصبغة على حدود الجلطة المخية.
2. الجلطة النزفية (Hemorrhagic Stroke) في الرنين المغناطيسي:
في حالة جلطة المخ النزفية، سيظهر الدم عادة على الصور بلون أبيض أو فاتح. يمكن أن يكون للمنطقة المصابة شكل غير منتظم وبملمس مشابه للسائل، وقد يكون للدم تأثير كبير على تباين الصور المتعلق بالدم والأنسجة المحيطة.

يجب ملاحظة أن الصور على الرنين المغناطيسي تعتمد على الأجهزة والتقنيات المستخدمة، وتقديم تشخيص دقيق يعتمد على تقييم الأطباء المتخصصين بالرنين المغناطيسي وفهمهم العميق للتشريح والتغييرات التي يمكن أن تحدث بسبب جلطة المخ.
اقرأ أيضاً: متى يموت مريض الجلطة الدماغية
أعراض جلطة المخ
- عدم القدرة على التحكم بالأطراف بصورة كاملة.
- الصداع المزعج الذي لا يوجد له سبب مباشر.
- قد يظهر شكل جلطة المخ في صورة عجز عن الاستماع بشكل سليم.
- قد يتغير سلوك مريض الجلطة الدماغية وتحدث لديه اضطرابات في الرؤية الطبيعية.
- عدم القدرة على الحفاظ على النشاط الطبيعي للعضلات؛ فمن الممكن أن تصبحَ ضعيفة أو تصيب المريض بالرعشة.
- قد يشعر المريض وكأنه في حالة من الدوران على الرغم من كونه يكون في وضع ساكن.
- تحدث تغيرات واضحة في طريقة مشي المريض، كما أنه يقع بسهولة.
- تحدث بعض الصعوبات في عملية التغذية سواء من ناحية صعوبة المضغ، أو صعوبة البلع.
- غالبًا ما تحدث تغيرات واضحة في قدرة الجسم على استقبال المثيرات الحسية التي من أهمها الألم والحرارة؛ حيث تحدث اضطرابات متعددة بهذه الحواس.
- الشعور بعدم استقرار الجهاز الهضمي والرغبة المزعجة في القيء، وقد يتقيأ أكثر من مرة دون مبرر.
- قد يصل شكل جلطة المخ إلى فقدان المريض لوعيه دون أسباب واضحة.
أسباب جلطة المخ

على الرغم من اختلاف شكل جلطة المخ بين مريض وآخر، إلا إن هناك بعض الأسباب التي غالبًا ما تكون مساهِمةً في إحداث أغلب هذه الحالات، وهي تشمل كلاً مما يأتي
تتكوُّن جلطة دموية لأي سبب بداخل الشريان المسؤول عن إيصال التغذية والأكسچين إلى خلايا المخ.
تكوُّن جلطة دموية لسبب ما في منطقة معينة بالجسم ثم تفتتها أو انكسارها ثم انتقالها واستقرارها داخل الشريان المسؤول عن توصيل التغذية والأكسچين إلى أنسجة المخ؛ ما يعني انقطاع الإمداد الدموي إليها.
حدوث تمزق بأنسجة جدار الشريان المغذي للمخ؛ ومن ثم تراكم الدم بهذه المنطقة ووقوع ضغط يتسبب في إعاقة التغذية الواصلة للمخ.
اقرأ أيضاً: متى يختفي التجمع الدموي في الرأس
عوامل خطر الإصابة بجلطة المخ
بعد توضيح شكل جلطة المخ الذي تأتي به في أغلب الحالات المَرضية، وبعد توضيح الأسباب التي تساهم بصورة مباشِرة في حدوث هذا النوع من الجلطات
ننتقل الآن للحديث عن أشهر العوامل التي من شأنها زيادة احتمالية توافر الأسباب المباشِرة لتكوُّن جلطة المخ، ومنها نذكر كلاً مما يأتي
- عدم أداء نشاط بدني جيد ولا مجهودات جسدية كافية لتعزيز الجهاز الدوري وتقليل الدهون الضارة.
- التدخين وخصوصًا إذا كان الشخص شرهًا به.
- القيمة العالية لضغط الدم، فمن شأنها أن تتسبب في حدوث بعض التمزقات بأجزاء مختلفة بالجهاز الدوري.
- إذا كان الشخص قد عانى في وقت سابق من الجلطة الدماغية العابرة كنوع من التنبيه إلى احتمالية حدوث جلطة دائمة في المستقبل.
- إذا كان الشخص يعاني من مرض السكري، وخصوصًا إذا كان من النوع الثاني الذي يعتمد على زيادة نسبة الدهون والكوليسترول الضار بالجس
- في حال إذا كان الشخص يعاني من إحدى مشكلات الأوعية الدموية التي من أهمها تصلب الشرايين، إلى جانب تضيق الأوعية الدموية لأي سبب.
- إذا كان الشخص مدمنًا لبعض المواد المخدِّرة التي من أشهرها: الكوكايين، والهيروين، إلى جانب إدمان المواد الكحولية.
- في حال إذا كان الشخص يعاني من إحدى مشكلات القلب أو قد عاني منها في وقت سابق، ويُعَد تضخم عضلة القلب من أشهر هذه المشكلات.
- في حال إذا كان الشخص يتبع نظامًا غذائيًّا غيرَ جيدٍ يحتوي على نسبة عالية من المواد الدهنية والكوليسترول.
اقرأ أيضًا: استئصال ورم عميق في بطينات المخ
كيف يمكن الوقاية من جلطة المخ؟
بعد التعرف على ما يظهر عليه شكل جلطة المخ في أغلب الحالات المَرضية، يجب أن ننبه على ما يمكن عمله للوقاية من هذه الجلطة.. وهي تشمل كلاً مما يأتي:
- الابتعاد عن التدخين والمواد الكحولية وأي مواد تقوم بوظيفة المخدِّر.
- محاوَلة عدم تضمين الدهون بداخل النظام الغذائي، واستبدالها بعناصر أخرى أكثر فائدة منها كالخضروات والفواكه.
- الحفاظ على وزن الجسم طبيعيًّا والعمل على ذلك من جانب كل من الرياضة والنظام الغذائي.
- السيطرة بشكل كامل ومحكَم على أي مرض مزمن كالسكري وارتفاع ضغط الدم، وذلك بتناول أدويته الموصوفة من قبل الطبيب بصورة دقيقة.
إلى هنا نكون قد وصلنا إلى نهاية حديثنا عن شكل جلطة المخ في معظم حالاتها المَرضية.
حيث ذكرنا أهم أعراض هذه الجلطة، وأسبابها، وعوامل خطر تكوُّنها ثم أنهينا المقال بالحديث عن أهم وسائل علاج هذه الجلطة وطرق الوقاية منها.
مراجع داخلية:
الأسئلة الشائعة حول شكل جلطة المخ
كيف أعرف أن لدي جلطة بالراس؟
تشمل أعراض جلطة الرأس أو جلطة المخ المفاجئة: ضعفًا في أحد جانبي الجسم، صعوبة في الكلام أو فهم الكلام، فقدان التوازن، أو صداعًا شديدًا غير معتاد. يجب التوجه للطوارئ فورًا عند ظهور هذه الأعراض لأنها قد تكون علامات لجلطة دماغية حادة.
ما هو شكل جلطة المخ في الأشعة؟
شكل جلطة المخ في الأشعة المقطعية أو الرنين المغناطيسي يظهر عادةً كمنطقة رمادية باهتة أو داكنة في الدماغ نتيجة لانخفاض تدفق الدم. يتمكن الطبيب المختص مثل الدكتور أحمد الغيطي من تفسير الصور بدقة لتحديد نوع الجلطة وموقعها وخطورتها.
ما هي أعراض جلطة المخ الخفيفة؟
جلطة المخ الخفيفة قد تسبب أعراضًا مؤقتة مثل تنميل بسيط في الوجه أو اليد، اضطراب خفيف في الكلام أو الرؤية، وتكون الأعراض غالبًا عابرة خلال دقائق أو ساعات. رغم خفتها، فهي مؤشر خطر لجلطة أكبر ويجب عدم تجاهلها.
كيف أعرف أنها بداية جلطة؟
في بداية الجلطة، تظهر علامات تحذيرية مثل تشوش مفاجئ في الكلام أو ضعف مفاجئ في أحد الأطراف أو صعوبة في المشي. ويُظهر التصوير الطبي المبكر شكل جلطة المخ في بدايتها مما يساعد الطبيب على التدخل السريع، ويوفر الدكتور أحمد الغيطي رعاية متخصصة للكشف والتعامل مع هذه الحالات.

دكتور أحمد الغيطى
استشاري جراحة المخ والأعصاب والعمود الفقري والقسطرة المخية التداخلية.
استشاري جراحة المخ والأعصاب الوظيفية وجراحة الصرع وجراحة الشلل الرعاش بالاستيريوتاكسي.
دكتوراة جراحة المخ والأعصاب – كلية طب القصر العيني – جامعة القاهرة (MD)
زميل البورد الأوروبي للجراحات العصبية (FEBNS)
الزمالة المصرية لجراحة المخ والأعصاب (FEgBNS)
تابعونا على صفحة الفيسبوك من هنا
للاستفسارات والحجز
عيادة المعادي: 26 شارع النصر أعلى فودافون ت/ 01021324575
وعيادة حلوان: 44 شارع المراغي بجوار محطة مترو حلوان ت: 01101001844
عيادة المعصرة: ش ترعة الخشاب فوق كافيتيريا اللؤلؤة ت/ 01015552707



