تعد السكتة الدماغية النزفية من الحالات المهددة للحياة، ومع ذلك توجد حالات شفيت من نزيف الدماغ وبلغت معدلات النجاة 26.7% لمدة 5 أعوام بعد الإصابة وفقاً لبعض التقارير الطبية، اعتماداً على موقع وشدة النزيف والتورم الناتج عنه، وسرعة التشخيص والعلاج.
سوف نذكر كل شيء بالتفصيل في هذا المقال من خلال موقع دكتور أحمد الغيطي.
جدول المحتويات
ما هو نزيف الدماغ؟
يُشخص المريض بنزيف الدماغ، عندما يحدث النزيف داخل أنسجة المخ ما بين الجمجمة و الأنسجة الدماغية، بشكل يمثل خطراً على حياة المريض.
يحتوي الدماغ على 3 طبقات تعرف بالسحايا بين الجمجمة و الأنسجة الدماغية (الأم الجافية، والعنكبوتية، والأم الحنون)، يختلف نوع النزيف وفقاً لمكان الإصابة إلى نوعين:
نزيف داخل الجمجمة، خارج أنسجة المخ
- النزف فوق الجافية: يحدث النزيف بين عظام الجمجمة وطبقة الغشاء الخارجي للمخ (الأم الجافية).
- النزف تحت الجافية: يحدث النزيف بين الأم الجافية، و الغشاء العنكبوتي
- نزيف تحت العنكبوتية: يحدث النزيف بين العنكبوتية والأم الحنون.
اقرأ أيضًا: عملية استئصال ورم الدماغ الحميد
نزيف داخل أنسجة المخ
- نزيف داخل المخ: يحدث في فصوص المخ، والمخيخ في الدماغ
- النزف داخل البطينات: نزيف في البطينات داخل الدماغ، حيث يتم إنتاج السائل النخاعي
أسباب نزيف الدماغ

قبل أن نذكر حالات شفيت من نزيف الدماغ، سوف نذكر بعض أهم الأسباب.
يؤدي التهيج في أنسجة الدماغ إلى الإصابة بالنزيف، وبالتالي قد يصاب المريض بتورم الدماغ أو الشلل الدماغي.
يتسبب الورم في زيادة الضغط على شرايين الدماغ، مما يؤدي إلى انفجارها، وحدوث النزيف وتكون ورم دموي في الدماغ.
يتسبب الورم في منع التدفق الدموي في الدماغ، وبالتالي عدم وصول الاكسجين إلى الخلايا المصابة مما يؤدي في النهاية إلى تلف خلايا المخ. ويتسبب ذلك في حدوث الآتي:
- ارتفاع ضغط الدم.
- إصابة الرأس.
- تضيق وتصلب الشرايين، نتيجة ترسب الدهون.
- تمدد وضعف الأوعية الدموية.
- تشوهات و اعتلال الأوعية الدموية.
- الإصابة بجلطة دموية.
- أورام الدماغ.
- الاضطرابات النزفية، مثل إصابات فقر الدم أو الهيموفيليا.
- أمراض الكبد.
- الشراهة في التدخين.
- تعاطي الكحول، والمخدرات.
- تسمم الحمل.
- نزيف الدماغ داخل البطينات، مع الأطفال حديثي الولادة.
اقرأ أيضًا: نسبة الشفاء من ورم الدماغ الحميد
علامات الإصابة بنزيف الدماغ
أوضحت بعض حالات شفيت من نزيف الدماغ، أن تشخيص إصابتهم بالسكتة الدماغية النزفية تم على أساس ظهور بعض العلامات ظهرت فجأة، وتطورت لديهم بمرور الوقت، وتشمل:
- الشعور بالنعاس والخمول.
- عدم التذوق.
- ضعف وتنميل في الأطراف.
- شلل أحد جانبي الجسم أو الأطراف.
- النوبات.
- صداع شديد وألم في الرأس.
- صعوبة الكلام أو الكتابة.
- تأثر المهارات الحركية والرؤية.
- دوخة وارتباك.
- تصلب الرقبة.
- قيء وغثيان.
- فقدان التوازن والتنسيق.
- احتمال فقدان الوعي.
مضاعفات نزيف الدماغ
قد يتسبب النزيف الدماغي في حدوث بعض المضاعفات خاصة مع التأخر في التشخيص والعلاج، يتضمن حدوث:
- السكتة الدماغية.
- النوبات.
- فقدان وظائف المخ.
- إعاقة جسدية أو عقلية.
- الوفاة
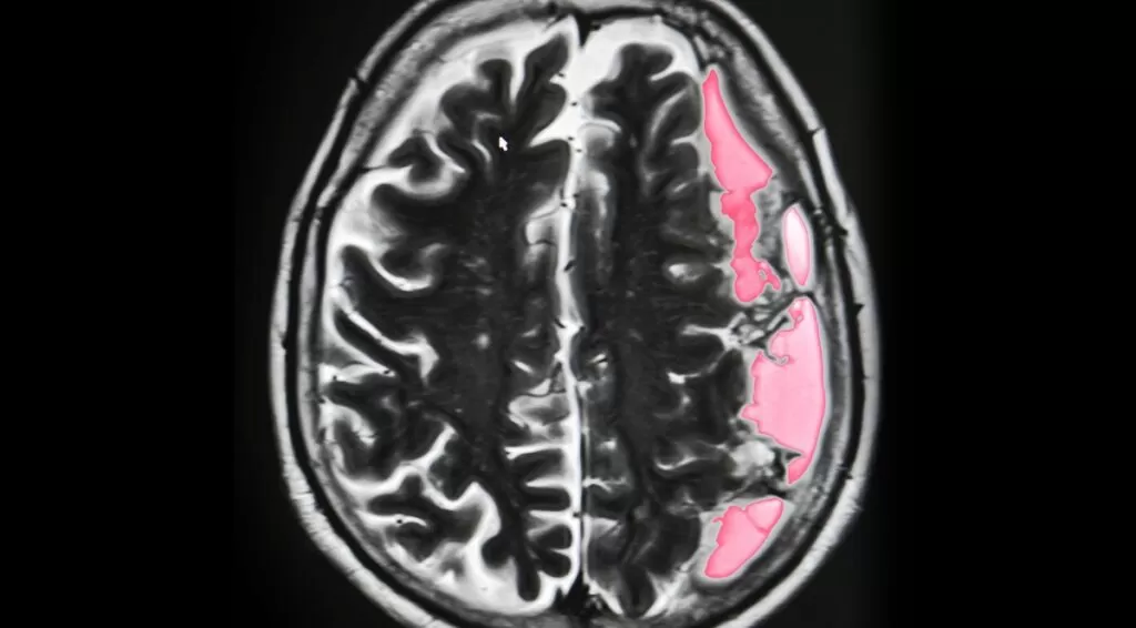
التشخيص
يتم التشخيص المبدئي على الفحص البدني للمريض، بالإضافة إلى بعض الاختبارات التشخيصية للتأكد تماماً من التشخيص، وتشمل:
- التصوير بالرنين المغناطيسي.
- التصوير المقطعي المحوسب.
- تصوير الأوعية الدموية بالدماغ بالرنين المغناطيسي.
- تحليل كهربية الدماغ.
- البزل الشوكي، لتحليل السائل النخاعي بالدماغ.
- اختبارات الدم، والبول.
عند التيقن من تشخيص السكتة الدماغية النزفية، يتم إجراء الاختبارات الآتية لتحديد سبب النزيف، وتشمل:
- اختبار سيولة الدم.
- اختبار الجلطة الدموية.
- مخطط صدى القلب.
- مخطط كهربية القلب.
- أشعة سينية على الصدر.
- اختبار بكتيريا الدم.
اقرأ أيضًا: أعراض انسداد الشريان السباتي في الرقبة
حالات شفيت من نزيف الدماغ

أوضحت الحالات التي شفيت بالفعل ضرورة التشخيص الفوري، والبدء في العلاج مبكراً للحفاظ على الدماغ من التلف الدائم، وتحسين فرص الشفاء. يتم علاج نزيف الدماغ بالاختيارات العلاجية الآتية:
الأدوية
- الأدوية المضادة للقلق.
- مضادات الاختلاج.
- الأدوية المخفضة لضغط الدم المرتفع.
- مسكنات الألم.
- الكورتيكوستيرويدات.
- الأدوية المدرة للبول.
الجراحة
في حالة عدم استجابة المريض للأدوية واستمرار النزيف، يلجأ الطبيب إلى الجراحة لإيقاف النزيف بسرعة وتخفيف الضغط الناتج عن التورم.
التعافي من نزيف الدماغ
يعتمد التعافي التام من السكتة الدماغية النزفية على شدة النزيف، ومدى الضرر الذي تعرض له الدماغ وتلف الأنسجة، والحصول على العلاج في الوقت المناسب.
بالنسبة إلى الحالات التي نجت من نزيف الدماغ، يستمر فترة التعافي لفترة طويلة قد تصل لشهور أو سنوات. أما في حالات النزيف البسيط، وعدم حدوث مضاعفات خطيرة قد يتعافى المريض خلال أسبوعين ويعود إلى حياته الطبيعية.
تحتاج حالات شفيت من نزيف الدماغ إلى إعادة التأهيل على المدى الطويل من الإصابة، تتضمن ما يلي:
- العلاج البدني لاستعادة المهارات الحركية.
- علاج مشاكل النطق والكلام.
- اتباع نمط حياتي وغذائي مختلف وأكثر صحة.
هذا إلى جانب اتباع بعض الإجراءات الوقائية لتقليل خطر الإصابة مرة أخرى، مثل:
- متابعة ضغط الدم، والحرص على عدم ارتفاعه.
- فقدان الوزن الزائد.
- الحفاظ على مستويات الكولسترول، ومستوى السكر بالدم.
- الإقلاع عن التدخين والكحوليات
- الاستمرارية في ممارسة التمارين الرياضية.
وفي النهاية، توجد حالات شفيت من نزيف الدماغ بالفعل، ولكن عندما تشعر بالأعراض الأولية للإصابة يجب ان تذهب فوراً للطبيب المختص للفحص والتشخيص السريع، وتلقي العلاج فوراً.
مراجع داخلية:
الأسئلة الشائعة
يُشخص المريض بنزيف الدماغ، عندما يحدث النزيف داخل أنسجة المخ ما بين الجمجمة و الأنسجة الدماغية، بشكل يمثل خطراً على حياة المريض.
ارتفاع ضغط الدم.
إصابة الرأس.
تضيق وتصلب الشرايين، نتيجة ترسب الدهون.
تمدد وضعف الأوعية الدموية.
تشوهات و اعتلال الأوعية الدموية.
الإصابة بجلطة دموية.
أورام الدماغ.
أمراض الكبد.
الشراهة في التدخين.
تعاطي الكحول، والمخدرات.
تسمم الحمل.

دكتور أحمد الغيطي
- استشاري جراحة المخ والأعصاب والعمود الفقري والقسطرة المخية التداخلية.
- استشاري جراحة ألمخ والأعصاب الوظيفية وجراحة الصرع وجراحة الشلل الرعاش بالاستيريوتاكسي.
- دكتوراة جراحة المخ والأعصاب – كلية طب القصر العيني – جامعة القاهرة (MD)
- زميل البورد الأوروبي للجراحات العصبية (FEBNS)
- الزمالة المصرية لجراحة المخ والأعصاب (FEgBNS)
تابعونا على صفحة الفيسبوك من هنا
للاستفسارات والحجز
عيادة المعادي: 26 شارع النصر أعلى فودافون ت/ 01021324575
وعيادة حلوان: 44 شارع المراغي بجوار محطة مترو حلوان ت: 01101001844
عيادة المعصرة: ش ترعة الخشاب فوق كافيتيريا اللؤلؤة ت/ 01015552707



